Periodontal Disease - Evaluation and Treatment of a Hidden Disease

Why Is Periodontal Disease So Common, Yet So Often Overlooked and Undertreated?

One reason may be that many owners do not routinely look into the mouths of their pets. And when they do, dental disease is not as obvious as other problems, such as limping, scratching, vomiting, or diarrhea. Thus, it is easy to ignore and remains hidden in many patients. Unless a pet has terrible breath, difficulty eating, or exhibits pain, a pet owner may be unaware that a problem exists.

We can see the crowns of our pets' teeth and can see how much tartar is on them. While the tartar accumulation may be ugly, it is not these deposits that are the main problem. The plaque and tartar below the gum line is the most significant concern. Unfortunately, we cannot see how much of those deposits there are. We also cannot see how much tissue damage has occurred causing abnormal pockets of infection and how much bone loss there might be.

In some cases of periodontal disease, there is significant loss of gum and deeper tissue that we can see in the conscious pet. Even when we see this, we cannot know how much more periodontal disease there is below the surface. Dental disease may be overlooked because it takes time to develop and does not become apparent until the later stages of the disease. When we see significant disease in an animal during an exam, there is usually much more severe disease present that we cannot see.

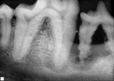
So How Do We Find Out How Much Disease There Is?

We must get your pet under general anesthesia so that we can probe, explore, and examine below the gum line around each tooth. We also need to get intra-oral dental radiographs to evaluate the bone and root structures. Dental radiology is absolutely essential! Radiographs are taken to assess the teeth roots and the bone supporting them. Radiographs are a must to see what is going on inside and around the roots. Only by doing a thorough, detailed examination can we arrive at an accurate assessment of your pet's periodontal condition. We need this detailed evaluation to develop the appropriate treatment plan for your pet.

Once Disease Is Found, What Can Be Done?

When periodontal disease is present, the goal is not necessarily to save all the teeth. Periodontal disease is a painful disease! Animals evolved to hide their pain so they would look less vulnerable. Pets with mouth pain often adapt by not chewing on the worst affected side of their mouth or swallow their kibble whole, stop playing with chew toys, or no longer play fetch games. Thus, the main goal is to make your pet pain free. We also want to do what we can to minimize future disease.

The amount of disease present will determine the potential treatment options. Removal of plaque and calculus, both above and below the gum, is done by ultrasonic and hand instrument scaling. This part of the treatment should only be done by a licensed veterinary technician or veterinarian. Oral surgery may be necessary to stop or prevent the progression of disease. The removal of diseased gum tissue and the extraction (removal) of teeth are frequently required. Surgery may be needed to replace bone that was lost in advanced stages of disease. All oral surgery, including extractions, should only be performed by a veterinarian.

Gingivitis is treatable and curable with professional treatment and diligent home care. Periodontal disease is not curable once bone loss occurs, but may be controllable once treated when followed up with strict home care and regular professional care.

Can Anything Be Done To Prevent Gum or More Serious Disease From Occurring?

It is a good idea to become comfortable opening your pet's mouth and looking inside. It is best to start when your pet is young, especially if it is a kitten or puppy. By knowing your pet's normal and healthy mouth, it will be easier to identify anything abnormal. Lift the lip and look at the teeth, especially the back teeth. Open the mouth and look at the inside of the teeth and at the tongue. If you have more than one pet or pets of different ages, compare what you see. Even gum disease is painful, so your ability to detect the starting of gum disease will help minimize your pet's mouth pain and is very important in preventing more severe disease.

In addition, your pet should have a thorough examination by your veterinarian twice a year. Each examination should include an oral exam to look for tartar deposits, gum disease, broken teeth, bad breath, etc. As a pet ages or develops certain medical conditions, more frequent examinations may be necessary. These regular examinations help to identify dental disease early before it becomes apparent in the later stages of the disease. However, you now understand that only with an anesthetized pet can a full-mouth examination and the extent of your pet's oral health be determined.

Home care is critical for success. One or multiple medicated home care products may be prescribed to be used daily. They are available in the form of a toothpaste, gel, rinse, diet, and water additive. Just like for us, we brush and floss our teeth daily and still need professional cleanings to maintain the health of our mouths. Preventing periodontal disease involves regularly scheduled veterinary care combined with (preferably) daily home care.

Proper brushing is the best way to reduce plaque and prevent gum disease, but regular cleanings with your veterinarian are necessary to remove calculus, fully evaluate your pet's mouth, and treat advanced gum disease. This is certainly an instance where an ounce of prevention is worth a pound of cure. If you are concerned that your pet may have gum or more serious disease, or want to find out what you can do to help prevent dental disease, please contact us today at 682-0881.

© 2012 All Rights Reserved.

Categories